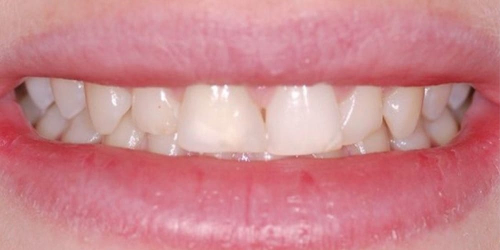
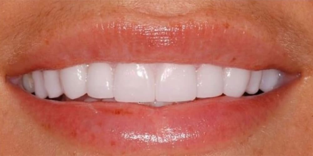
Cas 1
Huit facettes de porcelaine
Avant

Aprés

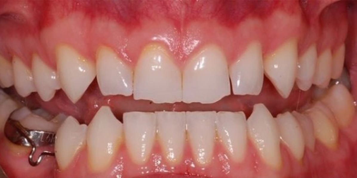
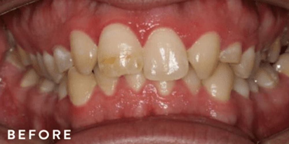
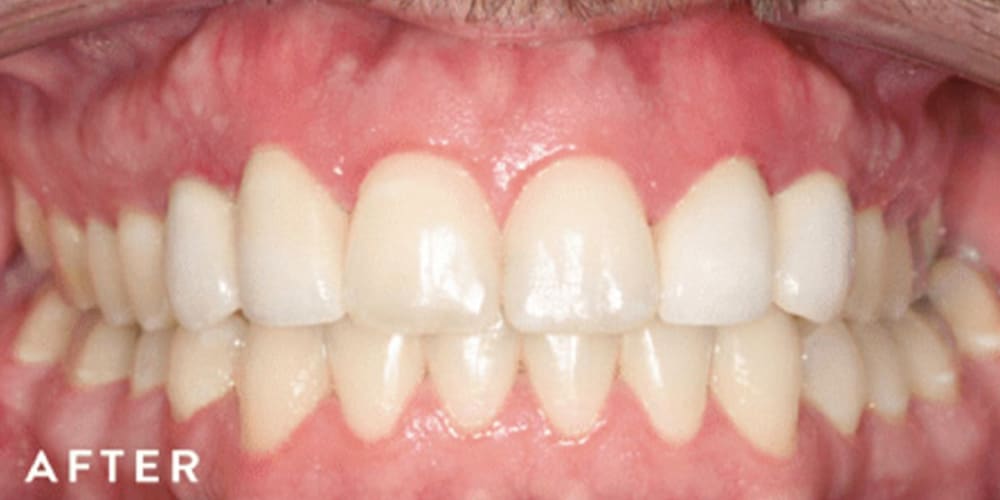
Cas 2
Correction de gencive au laser, une couronne et trois facettes de porcelaine.
Avant

Aprés

Cas 3
Quatre facettes de céramique.
Avant

Aprés

Cas 4
Métamorphose dentaire avec huit facettes de porcelaine.
Avant

Aprés

Cas 5
Quatre facettes de céramique.
Avant

Aprés

Cas 6
Polissage et modification des canines avec composite.
Avant

Aprés

Cas 7
Dix facettes de composite.
Avant

Aprés

Cas 8
Six facettes de composite.
Avant

Aprés

Cas 9
Fermeture de diasteme avec deux couronnes en porcelaine et blanchiment des dents.
Avant

Aprés

Cas 10
14 couronnes en porcelaine pour corriger l’usure et améliorer la forme des dents.
Avant

Aprés

Cas 11
Dix couronnes de porcelaine.
Avant

Aprés

Cas 12
Réhabilitation complète des dents avec couronnes et facettes de porcelaine.
Avant

Aprés

Cas 13
Fermetures d’espaces en composite et un blanchiment.
Avant

Aprés

Cas 14
Voici une arcade complète fait de couronnes en porcelaine.
Avant

Aprés

Cas 15
Réhabilitation complète en couronnes de porcelaine.
Avant

Aprés

Cas 16
Un implant, une correction de gencive, 3 couronnes et 3 facettes.
Avant

Aprés

Cas 17
Un traitement orthodontique, un blachiment des dents, des facettes, couronnes et implants.
Avant

Aprés

Cas 18
Invisalign cinq mois seulement, un blanchiment et quelques ajouts en composite.
Avant

Aprés
